
神経ギリギリの虫歯を治療後に起こる痛みの原因と対処法を解説
神経近くまで進行した虫歯の治療では、できる限り歯を残すために神経を取らずにギリギリまで削る治療が選択されることがあります。
しかし、治療後に痛みやしみる症状が続くと、「本当にこのまま様子を見て大丈夫なのか」と不安になる方は少なくありません。
本記事では、治療後に起こりやすい痛みの特徴や長引く場合に考えられる原因、受診の目安、そして実際の症例をわかりやすく解説します。
歯の神経を抜くしかないと考えている方は、下記の記事も参考にしてみてください。
神経ギリギリまで歯を削る治療後に起こりやすい症状と経過

神経ギリギリまで歯を削る治療後に起こりやすい症状と経過は以下のとおりです。
- 治療後の痛みはいつまで続くか
- 痛みが半年続く場合に考えられる原因
- 治療後に噛むと痛い理由
それぞれ解説します。
治療後の痛みはいつまで続くか
神経近くまで深く削ると、歯髄と呼ばれる神経組織が刺激を受け、一時的に炎症を起こすことがあります。
治療直後は冷たいものがしみたり、ズキッとした痛みが出やすいです。
多くの場合、数日から一週間ほどで落ち着きますが、炎症の強さや個々の体質によって治癒のスピードには差があり、一か月ほどかけてゆっくり改善するケースもあります。
時間の経過とともに少しずつ痛みが引いていくようであれば、良い経過といえます。
痛みが半年続く場合に考えられる原因
治療後数ヶ月が経っても痛みや違和感が続く場合、別の原因が隠れている可能性があります。
詰め物や被せ物の高さが合っておらず、噛むたびに歯根膜に負担がかかっているケースや、虫歯菌が神経近くに残って再び炎症を起こしているケースなどです。
また、歯の根に小さなヒビが入っているクラックの存在や、根の先に膿がたまる根尖病変が生じていることもあります。
半年以上痛みが続く場合は、見えない部分に問題があることも多いため、歯科医院を受診してください。
治療後に噛むと痛い理由
治療後に噛むときだけ痛む場合、噛み合わせのズレが原因になっていることがあります。
わずかな高さの違いでも歯には強い負荷がかかり、歯根膜に炎症が起きることで痛みを感じます。
また、治療後の神経がまだ敏感な状態のときにも、噛む力によって痛みが一時的に増すことがあります。
治療直後であれば数日〜数週間のうちに改善していくことが多いものの、痛みが長期間続く場合は再調整が必要となる場合があります。
長引く痛みのリスクと注意点

長引く痛みのリスクと注意点は次のとおりです。
- 痛みがいつまで経っても引かない場合のポイント
- 噛むと痛い時のよくあるトラブル
- ズキズキが強い時に避けるべき行動
順番に解説します。
痛みがいつまで経っても引かない場合のポイント
治療後の痛みが長期間改善せず、むしろ悪化しているような場合には、神経が回復不能な状態である「不可逆性歯髄炎」に進んでいる可能性があります。
この状態では、温かい飲み物で強い痛みが走る、夜間にズキズキと脈打つような痛みが出る、じっとしていても痛みが続くといった特徴があります。
このような症状が現れた場合、炎症が根の先へ広がり、膿が溜まる段階へ移行する可能性もあり、根管治療が必要になることがあります。
根管治療について詳しくは下記をご覧ください。

噛むと痛い時のよくあるトラブル
噛んだときにだけ痛みが出る場合は、噛み合わせの問題が起きていることが多いです。
また、歯の根に細かいヒビが入ると、噛む力により亀裂が広がって痛みが出ることもあります。
こうしたヒビは肉眼では確認しにくく、マイクロスコープや歯科用CTなどの精密機器を使用しなければ判断できないこともあります。
歯科医院を受診する際は、設備が整っているか確認してください。
吉松歯科医院では、マイクロスコープや歯科用CTを完備していますので、精密な検査が可能です。
ズキズキが強い時に避けるべき行動
炎症が強い時期に避けるべき行動として、熱い飲み物の摂取、長時間の入浴、激しい運動、アルコールの摂取などがあります。
これらは血流を増加させ、痛みが悪化する原因になります。
固いものを噛む行為も刺激となるため、できるだけ反対側で噛むようにし、歯にかかる負担を減らすことが大切です。
神経ギリギリまで削る虫歯治療の症例紹介

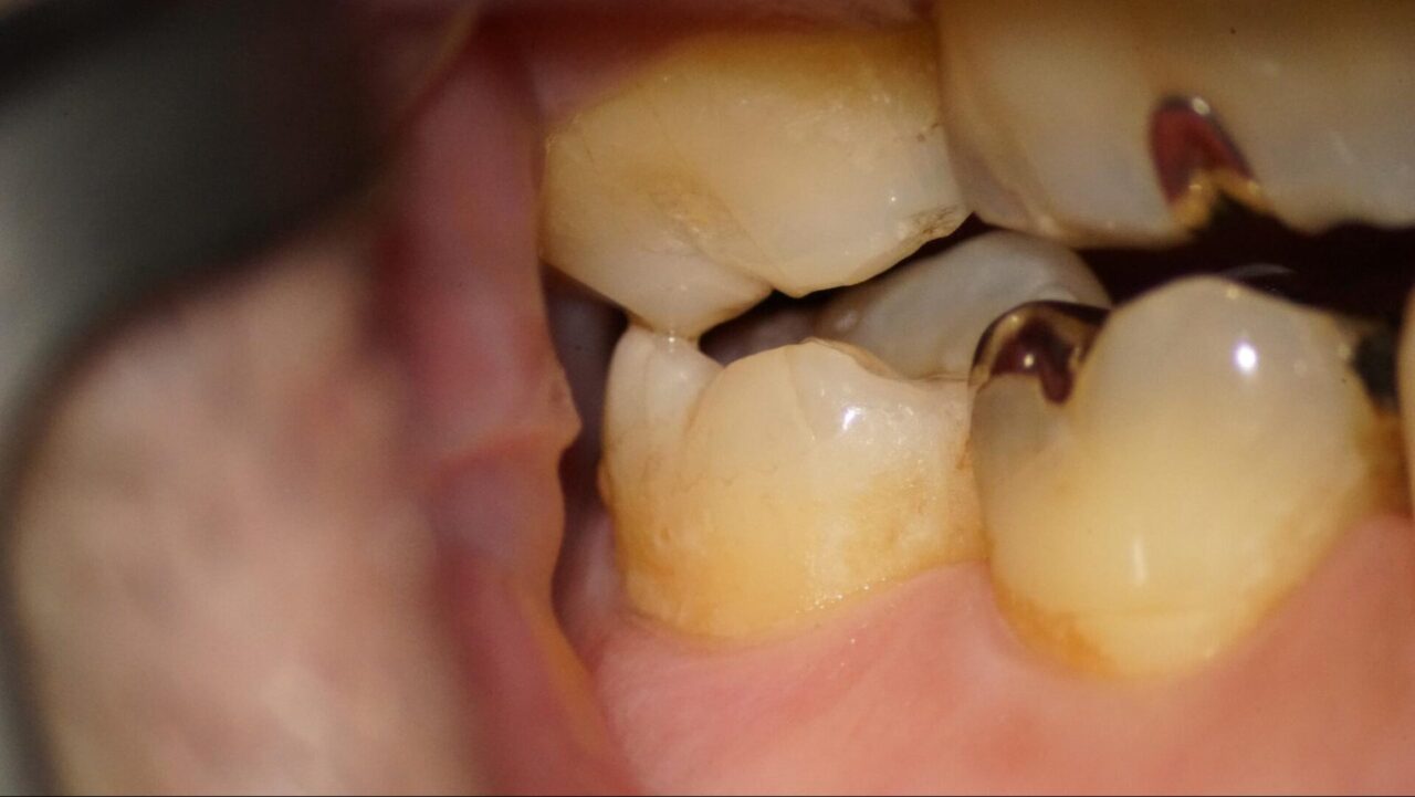
噛むとズキンとするという症状
噛むとズキンとするという症状があり、口腔内の写真を診ると左側上顎第2大臼歯部に歯牙破折を認める。また左側方運動時に下の歯との干渉があり、歯の咬合面や頬側面にクラックラインが確認する事ができる。


麻酔を行い、ラバーダム防湿時の写真。

まず口蓋側の咬合面を削合するとクラックラインが明確になってきました。

さらに頰側咬合面を削合すると遠心部から近心部のクラックライン、咬合面を斜めにわたる深いクラックラインが確認する事ができる。

クラックラインに沿って慎重に削合していくと、歯髄に近くなって内部のピンク色が視えてくる。

クラックラインを削っていくと歯髄に交通してしまいました。

クラックライン、歯髄を含めてレーザーでその表面を蒸散して細菌感染がない状態にします。

バイオセラミックによる直接履髄を行い、ボンディング操作に移ります。

ボンディング後にレジンにて斬管的な仮封を行います。

3ヶ月程度経過観察後に2ケイ酸リチュームで最終的な修復物に移行します。
その間になぜ歯が破れてきたのか、原因を除去していく事になります。
噛み合わせの治療を行います。

痛みを減らすためにできるケア

痛みを減らすためにできるケアは下記のとおりです。
- 鎮痛剤を服用する
- 患部を冷やす
- 安静にする
- 歯科医院を受診する
それぞれ説明します。
鎮痛剤を服用する
痛みが強い場合は、炎症を抑える鎮痛剤が効果的です。
ただし、自己判断で長期間服用すると逆効果になることもあるため、歯科医師の判断の元、必要な期間にとどめることが重要です。
患部を冷やす
頬側から軽く冷やすことで、痛みの原因である炎症が和らぎやすくなります。
冷やす時間は短めにし、強く押し当て過ぎないよう注意が必要です。
安静にする
炎症が強いときに歯へ強い力をかけると、回復が遅れることがあります。
できるだけ患部を使用せず、反対側で噛むなどして安静にすることが大切です。
柔らかい食事を選ぶことで、歯への負担を軽減できます。
歯科医院を受診する
痛みが二週間以上続く場合や、夜に強く痛む、温かい飲み物で痛むなどの症状がある場合は、歯髄炎の悪化や根の病気の可能性があります。
これらは早期の段階で治療を行うことで歯を残せる可能性が高くなるため、早めの受診をおすすめします。
神経ギリギリの虫歯の治療後は経過観察と早めの対処が大切

神経の近くまで虫歯が進行していた場合、治療後に一時的な痛みが出ることは珍しくありません。
しかし、痛みが長く続く場合や違和感が悪化していく場合には、神経の炎症が治まらず悪化しているサインであることもあります。
治療後の小さな異変を見逃さず、早めに相談することが歯を長く守るために重要です。
吉松歯科医院では、経験豊富な歯科医師がセカンドオピニオンにも対応しています。
少しでも違和感や気になる点がある方は、お気軽にお問い合わせください。
