
再根管治療で歯を残すために知っておきたい専門医の技術と医院の選び方
「数年前に根管治療をしたはずなのに、また痛みが出てきた」「噛むと響く感じがする」と感じている方も多いのではないでしょうか。
こうした場合に必要になるのが「再根管治療」ですが、再治療は初回より難易度が高く、治療結果は歯科医師の経験・設備・診断力によって左右されます。
本記事では、再根管治療を専門医に任せるべき理由や名医が行う精密治療の特徴、失敗しない歯科医院選びのポイントを詳しく解説します。
根管治療が再発する原因については以下のページを参考にしてみてください。
再根管治療を専門医に任せるべき理由

再根管治療を専門医に任せるべき理由は次のとおりです。
- 経験値が治療結果を左右する
- マイクロスコープを使った精密治療で成功率が上がる
- CTで根の形・感染範囲を正確に把握できる
それぞれ解説します。
経験値が治療結果を左右する
歯内部の形態は人によって異なり、複雑に枝分かれしています。
初回治療で感染源を取りきれなかったケースや、根の先に炎症が再び広がっているケースでは、治療の難易度が大幅に上がります。
専門医は数多くの症例を扱ってきた経験から、一般的な治療では見つけにくい感染源や微細な亀裂を見抜くことができ、高度なテクニックを駆使して歯を残す治療を成功に導きます。
経験の差は、そのまま治療の確実性に直結するといっても過言ではありません。
マイクロスコープを使った精密治療で成功率が上がる
再根管治療において、マイクロスコープは欠かせません。
肉眼では見えないレベルの根管の分岐、小さな破折線、感染源の残りなどを高倍率で確認できるため、治療の精度が上がります。
感染源の見落としは再発の大きな要因ですが、マイクロスコープを用いることで徹底的な感染除去が可能になります。
CTで根の形・感染範囲を正確に把握できる
根の先端の炎症や膿の大きさ、根の形態、破折の有無は、二次元のレントゲンでは判断が難しいことがあります。
歯科用CTでは三次元で立体的に歯を評価できるため、感染がどの範囲に及んでいるか、どの方向に広がっているか、根が曲がっているかなどの情報を正確につかむことができます。
吉松歯科医院では、歯科用CTやマイクロスコープを用いて、正確な治療を実現しています。
設備については下記も合わせてご覧ください。
名医が行う再根管治療の特徴

名医が行う再根管治療の特徴は以下のとおりです。
- 感染源の徹底除去
- 再発リスクを抑える最終封鎖
それぞれ解説します。
感染源の徹底除去
再根管治療において重要なのは、根管内に残った感染源を一つ残らず除去することです。
古い薬剤や汚れを慎重に取り除き、レーザーや薬剤を使って根管内部を細部まで消毒します。
専門医は感染源が潜む可能性のある細い根管や分岐をマイクロスコープで確認しながら治療を行うため、一般的な治療では見落とされる部分まで確実にアプローチできます。
再発リスクを抑える最終封鎖
感染源の除去後、根管内部をいかに確実に封鎖するかも成功率を左右します。
バイオセラミック材料など高い密閉性を持つ素材を使用することで、細菌の侵入を防ぎ、再発しにくい状態を作り出します。
また、外側の被せ物についても適合精度が大切で、精密な形態にすることで細菌の侵入を防ぎ、歯の長期的な安定につながります。
吉松歯科医院では、バイオセラミックスを使用し、毎回麻酔も実施しています。

再根管治療が専門医に向いている状況

再根管治療が専門医に向いている状況は下記のとおりです。
- 痛みが長期間続く・噛むと響く
- 膿が繰り返し溜まる
- 過去の治療で歯根に破折がある
順番に説明します。
痛みが長期間続く・噛むと響く
治療を受けた歯に何か月も痛みが続く場合や、噛んだ時に電気が走るような痛みが出る場合は、内部で炎症が進行している可能性があります。
神経がない歯でも、根の先で感染が起きれば強い痛みが出ます。
膿が繰り返し溜まる
歯茎に白いできものができ、膿が出たり引いたりを繰り返す場合は、根の先に慢性的な感染巣がある証拠です。
初回治療では取り切れなかった細菌が根の深くに残っている可能性が高く、再根管治療が必要になります。
歯科用CTで膿の大きさを確認し、適切な治療を行うことで改善します。
過去の治療で歯根に破折がある
歯の根に小さなヒビが入っている場合、噛むたびにその部分が開き、細菌が侵入して感染を引き起こします。
破折の診断は肉眼では難しく、マイクロスコープや歯科用CTを使用することで初めて判断できます。
再根管治療の症例紹介

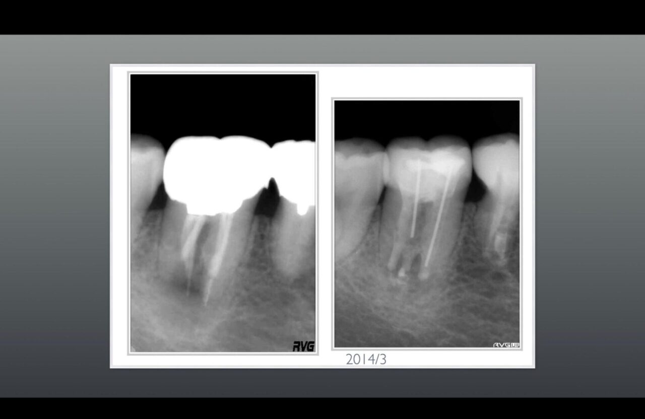
術前のレントゲンと術後のレントゲン①
術前のレントゲンを診ると歯根破折を疑われるレントゲン像を示しており、標準的な診断では抜歯になる症例です。アメリカ帰りには絶対に治せない症例です。

この歯の治療は、最初1回法で根管充填、ファイバーポストまで1日で行ったが頬からのサイナストラクト、フィステルが消失しないため、6ヶ月後に近心根のみもう一度根管治療を行った。頬側からの掻爬や、物理的、化学的洗浄を十分に行いバイオセラミックで根管充填をした症例です。

術後経過観察時のレントゲン写真及び口腔内写真、頬のサイナストラクトの跡の写真
根尖側はもちろん、近心側の骨も再生されている事が確認できる。

術前のレントゲンと術後のレントゲン写真➁

術前に根尖部の骨吸収画像及び破折ファイルが2本以上確認する事ができる。
術後のレントゲン写真では、根尖部の骨は再生され根管内にあった異物はきちんと除去されている。
再根管治療で失敗しないための歯科医院の選び方

再根管治療で失敗しないための歯科医院の選び方は次のとおりです。
- マイクロスコープ・CTを完備しているか
- 専門医・認定医資格があるか
- 治療方針や症例数を公開しているか
順番に解説します。
マイクロスコープ・CTを完備しているか
再根管治療の成功率は、設備の有無で大きく変わります。
マイクロスコープがなければ感染源の見落としが起こりやすく、歯科用CTがなければ正確な把握が難しくなります。
これらの設備を備えている歯科医院を選ぶことで、治療の確実性が高まります。
専門医・認定医資格があるか
根管治療は専門性が高く、経験豊富な歯科医師ほど複雑な症例にも対応できます。
専門医や学会認定医は多数の症例経験があり、治療の成功率も安定しています。
資格はそのまま技術力の裏付けとなるため、歯科医院選びの大きな判断材料になります。
吉松歯科医院、院長の経歴や実績については以下からご確認いただけます。
治療方針や症例数を公開しているか
治療内容を丁寧に説明してくれるか、過去の症例を公開しているかは歯科医院の透明性と自信の証です。
症例紹介が豊富な歯科医院は、難症例の治療経験を積んでいる可能性が高く、安心して治療を任せられます。
吉松歯科医院では治療実績を公開しているので、ぜひご覧ください。
再根管治療で歯を守るために早期対応を

再根管治療は、適切な診断と精密治療によって歯を残せる可能性が広がる治療です。
痛みが長引く、膿が出る、噛むと響くといった症状は、再治療が必要なサインであり、放置すれば歯の寿命は短くなります。
違和感を感じたらすぐに相談し、適切な治療につなげましょう。
吉松歯科医院では、経験豊富な歯科医師が、お客様の状態を丁寧に確認し、治療を行っています。
マイクロスコープや歯科用CTなどの設備も整っていますので、安心してお問い合わせください。


