
神経を抜く抜髄とは?治療の手順・注意点・症例をわかりやすく解説
歯の神経を抜く「抜髄(ばつずい)」は、重度の虫歯や炎症によって神経(歯髄)が傷ついたときに行われる処置です。
この記事では、抜髄の具体的な流れから治療後の注意点、実際の症例、そして再発を防ぐために大切なポイントまでを詳しく解説します。
抜髄の基本については下記の記事で説明しているので、参考にしてみてください。
抜髄の手順と治療の流れ

抜髄の手順と治療の流れは以下のとおりです。
- 麻酔と治療の準備
- 虫歯の除去と神経の露出
- 神経(歯髄)の除去
- 根管内の洗浄と消毒
- 薬剤の充填と封鎖
- 被せ物・詰め物の装着
それぞれ解説します。
1, 麻酔と治療の準備
抜髄は神経を扱うため、痛みを感じないように局所麻酔をしっかりと行います。
治療部位の感染を防ぐために「ラバーダム防湿」というゴムのシートで、治療する歯以外を覆うこともあります。
これにより唾液中の細菌が歯の内部に入り込むのを防ぎ、感染を最小限に抑えながら精密な処置を行うことができます。
吉松歯科医院のラバーダム防湿の使用状況については下記をご確認ください。
2, 虫歯の除去と神経の露出
麻酔が効いたら、まず虫歯になった部分を削り取ります。
虫歯の進行が深い場合、すでに神経まで細菌感染が広がっていることも多く、歯の内部が変色していたり膿が溜まっているケースもあります。
経験豊富な歯科医師は慎重に確認しながら、健康な部分をできるだけ残すよう配慮して作業を進めます。
3, 神経(歯髄)の除去
神経が露出したら、専用の器具を使って感染した歯髄をすべて取り除きます。
この工程が「抜髄」です。
歯髄には痛みを感じる神経と血管が通っているため、ここを完全に除去することで痛みの原因を断ちます。
わずかな残留物でも再感染の原因となるため、この工程は重要です。
4, 根管内の洗浄と消毒
神経を取り除いた後は、根管内(歯の内部の管)を繰り返し洗浄します。
洗浄が不十分だと、数ヶ月後に痛みが再発したり膿がたまることもあるため、丁寧に行うことが大切です。
5, 薬剤の充填と封鎖
清潔にした根管内に、再感染を防ぐために薬剤を充填します。
この薬剤は内部を密閉する役割を持ち、細菌が再び侵入するのを防ぎます。
圧力を均等にかけながら、根の先端まで丁寧に封鎖します。
6, 被せ物・詰め物の装着
内部の処置が完了したら、失われた歯の形態を回復させるために被せ物や詰め物を装着します。
治療後に違和感がないかを確認し、問題がなければ治療は完了です。
抜髄後の痛みとその対処法

抜髄後の痛みとその対処法は次のとおりです。
- 治療後の痛みや違和感
- 再発リスクを理解する
- 抜髄後のケアと再治療を防ぐコツ
順番に説明します。
治療後の痛みや違和感
抜髄後は、麻酔が切れたあとに軽い痛みや違和感を感じることがあります。
これは根管内の組織が完全に落ち着くまでに起こる一時的な炎症反応で、多くは数日から1週間で治まります。
強い痛みが続く場合は、根の先に炎症が残っている可能性もあるため、早めに相談しましょう。
再発リスクを理解する
抜髄した歯は神経がなくなるため、痛みというサインを発しなくなります。
しかし、無痛だからといって安心はできません。
隙間やひび割れから細菌が侵入すると、数年後に膿がたまって再治療が必要になるケースもあります。
抜髄後のケアと再治療を防ぐコツ
治療後は、歯を清潔に保つことが第一です。
特に被せ物と歯ぐきの境目には汚れが溜まりやすいため、柔らかい歯ブラシで丁寧に磨き、デンタルフロスや歯間ブラシを活用しましょう。
歯ぎしりや食いしばりの癖がある方は、ナイトガードを使用することで歯への負担を軽減できます。
抜髄の症例紹介

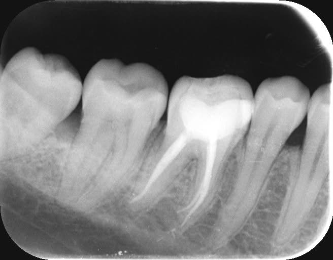
症例1:外傷による歯髄炎から抜髄処理
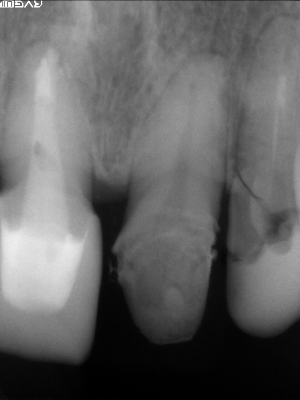
レントゲン像から外傷による歯髄炎を起こして抜髄処置を行ないました。(術前の口腔内写真、レントゲン)

術前レントゲン写真、隣の歯も外傷による歯根破折がレントゲンから確認できます。

麻酔をしてラバーダム防湿を行い、可能な限り健全歯質の温存を考慮しながら、歯髄を除去していきます。

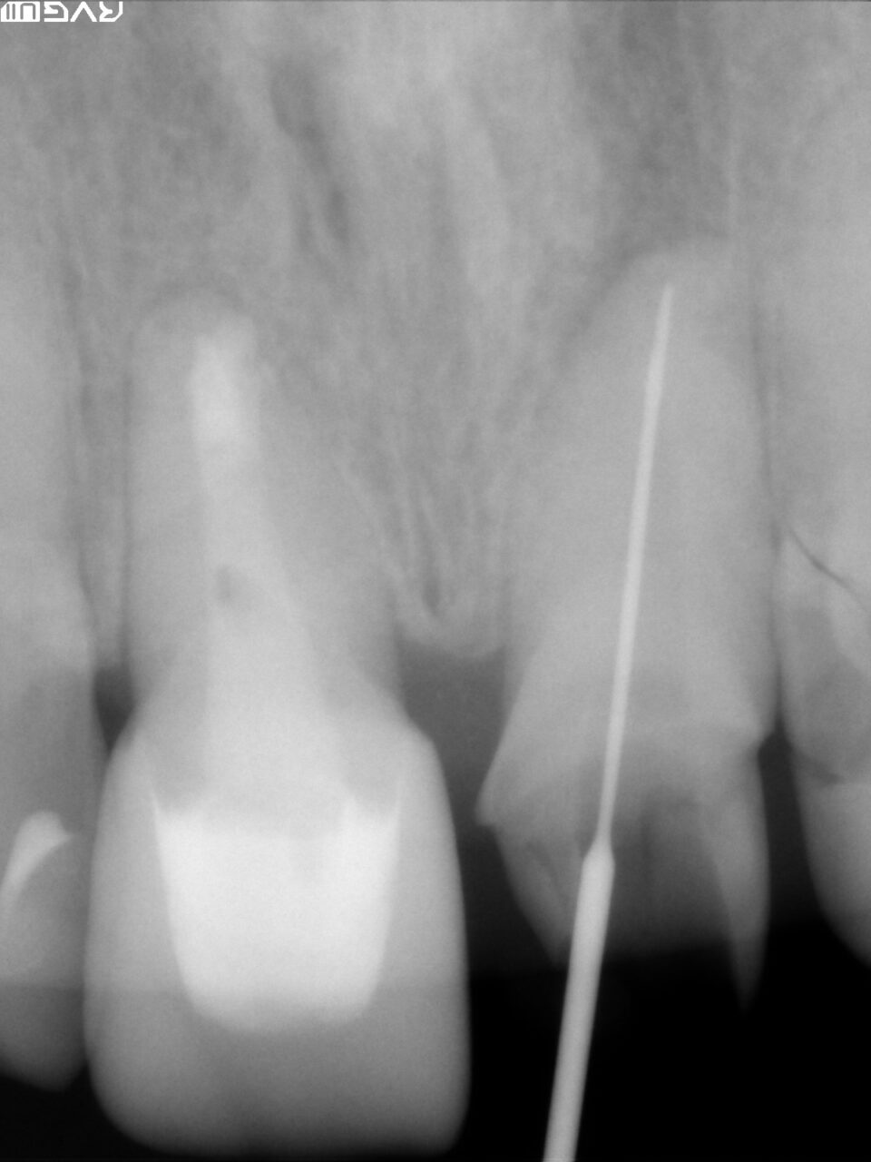
根尖までファイルが到達した事を確認するためにレントゲンを撮り、根尖孔の太さや根管の長さを確認しました。

根管形成後、十分に根管洗浄を行いバイオセラミックにて根管充填をしました。


根管充填後、フローレジンにて仮の蓋をして仮歯を装着します。

症例2:根尖しっかり根管充填を行った
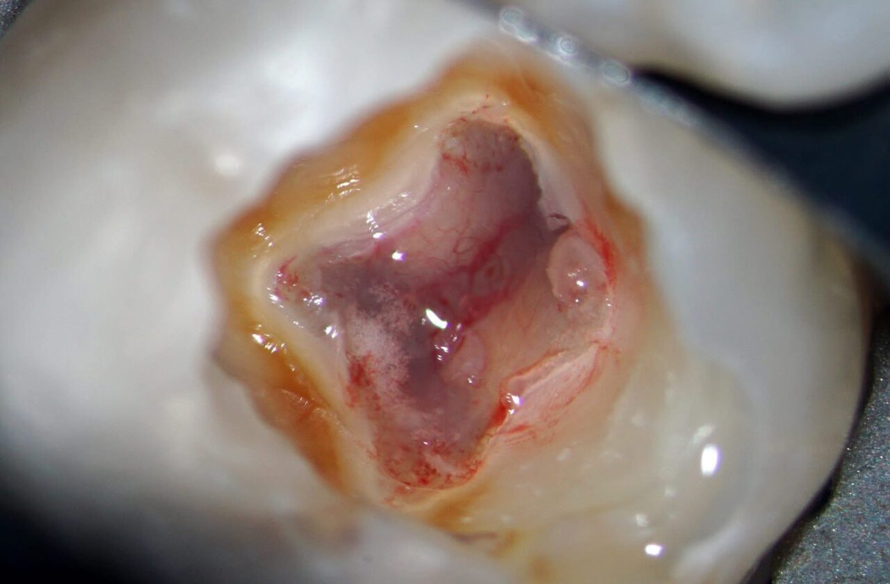
麻酔をした後にラバーダム防湿をして、随腔内を明示した写真です。

根管拡大及び根管洗浄後の写真です。

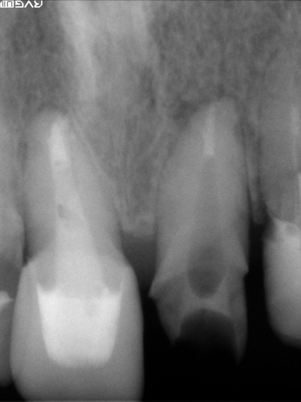
根尖まできちんと根管充填材であるバイオセラミックが入っている事が確認できます。(根管充填後のレントゲン写真)

抜髄後も長く歯を守るために大切なこと

抜髄後も長く歯を守るために大切なことは以下のとおりです。
- 定期検診と歯のメンテナンス
- 再治療を防ぐセルフケア
- 信頼できる歯科医院選びのポイント
それぞれ解説します。
定期検診と歯のメンテナンス
抜髄した歯は、神経がなくなっているため、外部からの刺激に鈍感になります。
そのため、痛みがなくても内部でトラブルが進行している場合があります。
半年に一度は定期検診を受け、レントゲンや口腔内チェックを通して早期発見・早期対応を心がけてください。
歯科医院ではクリーニングによってプラークや歯石を除去し、被せ物の劣化も確認してくれます。
再治療を防ぐセルフケア
自宅でのセルフケアも欠かせません。
硬い食べ物の食べ過ぎを避け、被せ物に過度な力がかからないように注意しましょう。
また、間食や甘い飲み物を控えることで細菌の増殖を防ぐことができます。
歯磨きは1日2〜3回、特に就寝前は丁寧に時間をかけて行いましょう。
再感染の原因の多くは、日常のセルフケア不足から生じます。
信頼できる歯科医院選びのポイント
抜髄や根管治療は、歯科治療の中でも技術と経験が問われる分野です。
マイクロスコープや歯科用CTを備えた歯科医院は、根管の形態を正確に把握できるため、成功率が高まります。
また、ラバーダム防湿を用いて無菌的に処置を行う歯科医院であれば、再感染のリスクを大幅に減らせます。
治療説明を丁寧に行ってくれる歯科医院を選ぶことも、安心して治療を受けるための重要なポイントです。
マイクロスコープを使用した治療映像は下記からご確認いただけます。
正しい手順とケアで歯を長く守ろう

抜髄は、痛みを取り除くための治療であると同時に、歯を残すための治療でもあります。
神経を取った歯は終わりではなく、適切な処置とメンテナンス次第で長く機能させることができます。
治療を受ける際は、歯科医師の説明をしっかり理解し、治療後も定期的なチェックと日々のケアを怠らないようにしましょう。
吉松歯科医院では、2002年からマイクロスコープを使用した治療を行っています。
初回60分ほどの丁寧な治療説明を行い、滅菌、感染症対策を徹底した上で治療をしていますので、抜髄を希望している方は、まずはお気軽にお問い合わせください。
