
抜歯と言われたけど諦めない!根管治療で歯を残すために知っておきたいこと
一度「抜歯しかありません」と診断されても、すべてのケースで本当に抜歯が必要とは限りません。
最新の根管治療によって、これまで残せないとされていた歯が保存できる可能性もあります。
マイクロスコープや歯科用CTなどの精密機器を活用すれば、肉眼では見えなかった感染源を特定し、歯を抜かずに治療できるケースが増えています。
この記事では、抜歯と診断される主な理由や、根管治療で歯を残すために知っておきたいポイント、実際の症例、そして歯科医院選びのコツまで詳しく解説します。
抜歯と診断される理由

抜歯と診断される理由は以下のとおりです。
- 根管治療後の再感染や炎症の悪化
- 歯根破折や重度の虫歯によるダメージ
- 再治療の限界と診断基準の違い
それぞれ解説します。
根管治療後の再感染や炎症の悪化
過去に根管治療を受けた歯でも、数年後に再び痛みや腫れが出ることがあります。
これは、根管の内部に残った細菌が再感染を起こしたり、古い詰め物の隙間から細菌が侵入したりすることが原因です。
再感染が進むと歯の根の先に膿がたまり、周囲の骨が溶けてしまうこともあります。
こうした状態が続くと、通常の再治療では対応できず「抜歯」と診断されるケースが出てきます。
歯根破折や重度の虫歯によるダメージ
歯の根に亀裂が入ったり、割れてしまう歯根破折(しこんはせつ)や、虫歯が歯の根元まで進行している場合も、抜歯の判断が下されやすいケースです。
神経を抜いた歯は水分が失われて脆くなっているため、強い噛みしめや外力によって破折しやすくなります。
また、歯の根の先や側面まで虫歯が広がっていると、被せ物での補修が難しく、感染の再発リスクも高くなります。
再治療の限界と診断基準の違い
根管治療には限界があり、歯科医師によって「残せる」と判断する基準が異なります。
ある医院では抜歯と診断されても、別の医院ではマイクロスコープを使用した再治療で保存できる場合があります。
治療の成否は、設備や技術力、経験に大きく左右されるのです。
そのため、抜歯と言われてもすぐに決断せず、他の歯科医師の意見を聞くことが大切です。
吉松歯科医院ではセカンドオピニオンにも対応していますので、お気軽にお問い合わせください。

抜歯を避けられる可能性があるケース

抜歯を避けられる可能性があるケースは下記のとおりです。
- マイクロスコープやCTによる精密再治療
- 専門医による再診断を受ける
順番に説明します。
マイクロスコープやCTによる精密再治療
近年は、マイクロスコープ(歯科用顕微鏡)を用いた精密な根管治療が一般化してきました。
肉眼では見えない細かな分岐や亀裂、感染源を高倍率で確認できるため、従来の治療では取り除けなかった細菌を確実に除去できます。
また、歯科用CTによって立体的に根の形や病変の位置を把握できるため、より安全で再発の少ない治療が可能です。
専門医による再診断を受ける
根管治療は歯科治療の中でも高度な技術を要する分野です。
専門資格を有する専門医は豊富な経験を持ち、通常の歯科医院で抜歯と診断された歯を残した実績を持っている場合が多いです。
吉松歯科医院では、抜歯したくない方の治療も担当しています。
治療実績については下記をご覧ください。
根管治療で抜歯を回避した症例紹介

症例1:抜歯を行わずに歯を残したケース
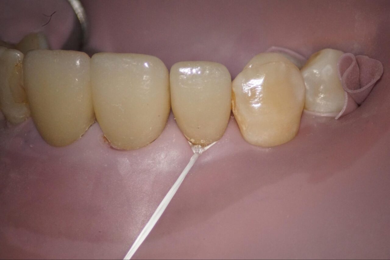
他院で歯根破折を疑われて、当院に来院されました。麻酔後にラバーダム防湿を行い、その後修復物を外します。

可能な限り健全歯質を削らないように細心の注意をはらって以前の修復物を外します。

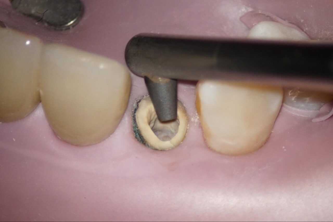
ファイバーコアを除去していきます。

余分な健全歯質をできるだけ削らないように拡大視野の中で丁寧に人工物や感染歯質を削っていきます。

感染部がグリーンに染まるカリエスディテクターを用いながら削っていくと頰側にクラックが入っている事が確認できます。
標準的な診断では、この時点で根管治療は終了となり、抜歯になりますが、吉松歯科医院では接着技術を用いて、可能な限り自分の歯を残すための治療を行なっています。

以前の根管充填材を取り除いて行きます。

以前の根管充填材は、感染部質なので完全に取り除く必要があります。この写真では根尖部にまだ残っている事が確認できます。

根管内、根尖部がきれいになったと思われるので、根管洗浄を6%次亜塩素酸を満たした状態で根管内にレザーを用いて活性化させて細かいとことまで洗浄を行います。

根管内がきれいになっている事が、確認できます。

バイオセラミックによる根管充填を行いました。

その後にクラックラインの接着を確実に行うため酸化アルミナによるブラスト処理を行います。

この症例では、光硬化型のボンディング材を用いたので根管内に光が届くように特殊な器具を用いてボンディング材の硬化をさせます。

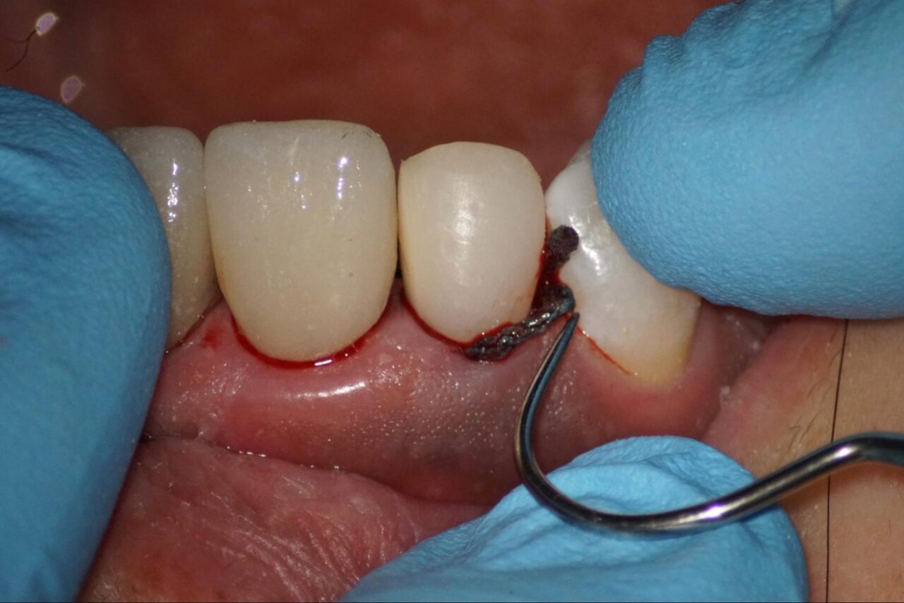
特に前歯なので、歯がない状態で終了する事はできません。コンポジットレジンにて歯冠形態を作り、今日は終了です。

歯と歯茎の間に入れた仕掛けを外して今日は終了です。
次回問題がなければ、裏側から根管内にアクセスしてファイバーコアにて築造を行います。

抜歯の判断を急がないためのチェックポイント

抜歯の判断を急がないためのチェックポイントは以下のとおりです。
- セカンドオピニオンを受けたか
- CT撮影やマイクロスコープ診断があるか
- 専門医・認定医の治療経験を確認したか
それぞれ説明します。
セカンドオピニオンを受けたか
一度「抜歯」と言われても、すぐに決断する必要はありません。
歯科医師によって診断基準は異なり、再治療の可能性を見落としている場合もあります。
複数の専門医に意見を求めることで、歯を残せる選択肢が見つかることがあります。
CT撮影やマイクロスコープ診断があるか
CT撮影やマイクロスコープを用いた診断は、肉眼では確認できない感染源や破折線を特定するのに有効です。
これらの設備が整っている歯科医院では、より正確な診断と治療が可能になります。
吉松歯科医院では、歯科用CTやマイクロスコープを完備していますので、設備について詳しくは以下もご参照ください。
専門医・認定医の治療経験を確認したか
根管治療の結果は、歯科医師の経験と技術力に依存します。
専門医や学会認定医などの資格を持つ歯科医師は、難症例への対応経験が豊富です。
治療前に歯科医師の経歴や実績を確認することで、安心して治療を任せられます。
吉松院長の資格や経歴は下記をご確認ください。
根管治療・抜歯の判断で失敗しない歯科医院の選び方

根管治療・抜歯の判断で失敗しない歯科医院の選び方は下記のとおりです。
- 感染対策・滅菌管理が徹底されているか
- わかりやすい説明と治療計画があるか
それぞれ解説します。
感染対策・滅菌管理が徹底されているか
根管治療では、細菌を完全に取り除くことが重要です。
そのためには、治療器具の滅菌やラバーダム防湿などの感染対策が徹底されているかがポイントです。
清潔な環境での治療は、再感染のリスクを大きく減らします。
吉松歯科医院では、滅菌、感染症対策を徹底していますので、下記も合わせてご覧ください。
わかりやすい説明と治療計画があるか
治療内容や期間、費用などについて丁寧に説明し、治療方針を提示してくれる歯科医院は信頼できます。
患者様が納得した上で治療を進めることで、再発や後悔のない結果につながります。
根管治療の可能性を考えてみよう

マイクロスコープや歯科用CTを用いた精密治療、専門医による再診断など、以前より歯を残せる可能性が広がりました。
大切なのは、複数の専門医を受診し、セカンドオピニオンをもらい、抜歯しかないのか確認することです。
吉松歯科医院では他院で抜歯と言われた場合でも、歯を残せた事例があります。
経験豊富な歯科医師が、マイクロスコープや歯科用CTを使用し、お客様の状態を丁寧に確認していますので、まずはお気軽にお問い合わせください。


